समाचार
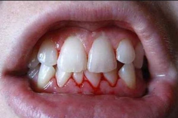
मसूड़ों से खून निकल रहा है, तो इस्तेमाल करे ये घरेलु नुस्खे
क्या आपके मसूड़ों से खून निकल रहा है , आपको बता दे की रोग किसी भी उम्र के लोगों को हो सकता है इसलिए ...
इस सावन दर्शन करे त्रयंबकेश्वर ज्योतिर्लिंग की, होगा हर दुःख का नाश
सोशल संवाद डेस्क / ( रिपोर्ट :तमिश्री )- श्री त्र्यंबकेश्वर मंदिर नासिक जिले में स्थित है। यह मंदिर भगवान शिव के उन 12 ज्योतिर्लिंगों ...
सहारा के 10 करोड़ निवेशकों का इंतजार हुआ खत्म अमित शाह ने किया ऐसा पोर्टल लॉन्च
सोशल संवाद / डेस्क : सहारा इंडिया जहा भारत की कई लोगो ने पैसा जमा किया था, कोई अपनी बेटी की शादी करवाने के ...
नियन प्रांगण में सावन के पावन महीने के अवसर पर भगवान शिव का रुद्राभिषेक हुआ
सोशल संवाद/डेस्क : यूनियन प्रांगण में सावन के पावन महीने के अवसर पर भगवान शिव का रुद्राभिषेक हुआ। रुद्राभिषेक के बाद भोग वितरण और ...
झारखंड प्रदेश कार्यकारिणी द्वारा प्रायोजित राष्ट्रीय अध्यक्ष लेफ्टिनेंट जनरल वी के चतुर्वेदी के साथ जिला इकाइयों की महत्वपूर्ण बैठक
सोशल संवाद /डेस्क : झारखंड प्रदेश कार्यकारिणी द्वारा प्रायोजित राष्ट्रीय अध्यक्ष लेफ्टिनेंट जनरल वी के चतुर्वेदी (से.नि.) के साथ जिला इकाइयों की महत्वपूर्ण बैठक ...
लौहनगरी जमशेदपुर में मारवाड़ी समाज द्वारा आयोजित भव्य कावड़ यात्रा ऐतहासिक भक्ति का संगम और एकता का परिचय
सोशल संवाद डेस्क : सावन मास के पवित्र महीने में पुरुषोत्तम मास की शुरुवात एवं अमावस्या व सोमवार का दिन मारवाड़ी समाज के पूर्वी ...
जमशेदपुर में गहराते जा रहे पेयजल संकट – सरयू राय
सोशल संवाद/डेस्क : जमशेदपुर में गहराते जा रहे पेयजल संकट का समाधान छोटे मोटे सामंजस्य बैठाने के तात्कालिक उपायों से नहीं होगा. इसके लिए ...
गणेशाय सेवा सदन के द्वारा कोलाबीरा उप स्वास्थ्य केंद्र में रक्तदान शिविर का आयोजन
सोशल संवाद/डेस्क : गणेशाय सेवा सदन के द्वारा कोलाबीरा उप स्वास्थ्य केंद्र में रक्तदान शिविर रखा गया था, शिविर का उद्घाटन सरायकेला अनुमंडल पदाधिकारी ...
स्थिति सामान्य होने तक जारी रहेंगे राहत शिविर – चौ. अनिल कुमार
सोशल संवाद/दिल्ली (रिपोर्ट- सिद्धार्थ ) : दिल्ली में बाढ़ के बिगड़ते स्वरुप के कारण दिल्लीवासियों को बड़े पैमाने पर राहत देने के लिए आज ...
अल्मोड़ा के स्वतंत्रता संग्राम सेनानियों के परिजनों का क्रांति तीर्थ श्रृंखला के अंतर्गत हुआ सम्मान समारोह
सोशल संवाद/डेस्क : भैरव लाल वर्मा, गोवर्धन शर्मा, गोविन्दबल्लभ पाण्डे, उदय लाल साह, तारा दत्त जोशी, देवी दत्त तिवारी, ख्याली राम पाण्डे, जगतीशरण पाण्डे, ...
















